Blanchiment dentaire : quand l’esthétique masque des risques graves pour la santé

0

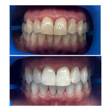
THIEYSENEGAL.com : Le blanchiment dentaire, pratique de plus en plus prisée pour son effet esthétique immédiat, recèle des dangers souvent méconnus, alerte le Dr Khaly Bane, membre de l’Ordre national des chirurgiens-dentistes du Sénégal. Derrière des gestes apparemment anodins se cachent des substances chimiques puissantes, dont l’usage inapproprié peut entraîner des conséquences dramatiques pour la santé.

Les produits les plus utilisés dans ce cadre sont le peroxyde d’hydrogène, le peroxyde de carbamide et le perborate de sodium, tous strictement encadrés par la réglementation. Le Dr Bane rappelle que seuls les gels faiblement dosés, ne dépassant pas 0,1 % de peroxyde d’hydrogène, peuvent être vendus librement. Au-delà de ce seuil, jusqu’à 6 %, leur utilisation est réservée aux chirurgiens-dentistes qualifiés et inscrits à l’Ordre, toute manipulation par des esthéticiens ou dans des instituts de beauté constituant un exercice illégal de la chirurgie dentaire.

Les risques sanitaires sont réels et sérieux. Une ingestion accidentelle ou un contact prolongé avec ces produits peut provoquer lésions cutanées, atteintes oculaires et troubles graves de l’organisme, surtout chez les enfants. Certains composés, comme le perborate de sodium, sont également associés à une toxicité sur la reproduction et à des risques cancérigènes, selon plusieurs études d’organismes internationaux.

Sur le plan dentaire, les conséquences peuvent être irréversibles : hypersensibilité sévère, destruction de l’émail, infections profondes et complications potentielles. Une dent mal blanchie devient ainsi une porte d’entrée pour des infections sérieuses, compromettant durablement la qualité de vie du patient.

Le Dr Bane appelle à une vigilance accrue des consommateurs et à la stricte observance de la réglementation : le blanchiment dentaire doit rester un acte médical encadré, réalisé par un professionnel qualifié, afin d’éviter que la quête de l’esthétique ne se transforme en menace sanitaire.

Laisser un commentaire

Votre adresse email ne sera pas publiée.